Il y a peu de véritables urgences en orthodontie. Cependant, les patients sont parfois confrontés à différents problèmes : gêne, douleurs lors de certaines p...
Nos conseils
Vous venez de prendre votre premier rendez-vous :
1ere visite : lors de la première consultation, nous remplissons un questionnaire médical, procédons à un...
L’ORTHODONTIE ET LES DÉPLACEMENTS DENTAIRES
Quand les dents doivent être corrigées, l’orthodontie est vivement conseillée puisque les malpositions dentaires ...
TRAITEMENTS ORTHODONTIQUES DES ENFANTS
Pour les enfants, un traitement d’orthodontie est possible dès que la première molaire permanente est apparue, parfoi...
Tout d'abord, vous allez remplir un questionnaire pour connaître plus précisément votre enfant ainsi que le but de votre visite. Ensuite le praticien va proc...
ENTRE 8 ET 10 ANS : LES TRAITEMENTS EN DENTURE MIXTE (LES DENTS DE LAIT COHABITENT AVEC LES DENTS DÉFINITIVES)
De nombreuses consultations sont liées à une...
INTÉRÊTS DU TRAITEMENT ORTHODONTIQUE CHEZ L’ADULTE
Les adultes qui consultent un orthodontiste pour réaligner leurs dents le font le plus souvent pour des r...
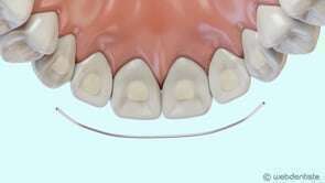
Les dispositifs actuels sont devenus très discrets voire invisibles
Les attaches transparentes en céramique. Ce dispositif est très discret
...
Ce remodelage s’effectue par action mécanique (fraise diamantée ou disque) et/ou manuelle (papier abrasif ou strip) dans les zones où l’émail s’use naturelle...












