Du Lundi au Vendredi de 9h à 12h30 et de 14h15 à 19h
Appareil multi-attache en céramique
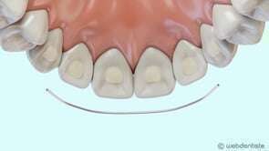
STRIPPING DENTAIRE (OU REMODELAGE DENTAIRE)
Cabinet d'orthodontie du Dr Jean-Jacques ROUX Chirurgie dentaire
57 Avenue de la Folie (quartier Pont des deux eaux) 84000 Avignon
04 90 85 60 74
Création par
Connexion